전유성님이 폐기흉 악화로 별세하였다는 소식이 전해지면서 이 병에 대한 관심도 늘고 있습니다. 폐기흉원인과 치료법등에 대해 지금부터 자세히 알아봅시다.

1. 폐기흉원인
폐기흉은 폐를 싸고 있는 흉막 사이 공간인 흉막강 내에 공기가 새어 들어가 폐가 정상적으로 펼쳐지지 못하고 쪼그라드는 질환입니다.
이 질환은 발생 원인과 증상이 매우 다양하지만, 가장 큰 원인은 폐 표면에 형성된 작은 공기주머니인 기포(소기포)가 파열되어 흉막강으로 공기가 유입되면서 시작됩니다.

원인별로는 자발성 기흉, 외상성 기흉, 이차성 기흉으로 크게 나눌 수 있는데, 자발성 기흉은 외부 충격이 전혀 없는 상태에서 일어나며, 특히 키가 크고 마른 젊은 남성에서 흔하게 발생합니다.
이들은 폐의 위쪽 부분인 폐첨부에 폐 표면 아래 작은 기포가 형성되는데, 이 기포가 터지면서 공기가 흉막강으로 들어가 폐가 허탈됩니다. 또한 흡연자에서 발병률이 매우 높아, 실제로 전체 일차성 자연기흉 환자의 약 90% 이상이 흡연자인 것으로 알려져 있습니다.

이런 자발성 기흉은 폐에 별다른 다른 질환이 없는 경우에 발생하는 반면, 이차성 기흉은 만성 폐쇄성 폐질환(COPD), 폐결핵, 낭성섬유증 같은 만성 폐질환이나 폐암, 폐섬유증 등의 기존 폐질환을 가진 환자에게서 발생하는데, 이 경우 폐조직 손상으로 인해 기포가 쉽게 파열되어 기흉이 생깁니다.
외상성 기흉은 교통사고, 뾰족한 물건에 찔리거나 갈비뼈 골절로 폐 실질이 손상되어 발생하며, 의인성 기흉이라 불리는 경우는 가슴이나 폐에 시술, 수술, 인공호흡기 사용 중 발생할 수 있습니다. 그 밖에 여성에게는 월경 주기에 맞춰 발생하는 월경성 기흉이라는 특수한 형태도 존재합니다.
폐기흉 발생에 영향을 미치는 요인으로는 대기 오염, 대기압의 급격한 변화, 빠른 신체 성장 등이 있으며, 특히 빠른 키 성장과 흡연이 주요 위험인자로 꼽힙니다. 유전적인 요인도 있는데, 마르팡 증후군, 버트-호그-두베 증후군 같은 유전질환에서 기흉 발생률이 높습니다.
폐기흉의 증상으로는 가장 대표적인 것이 갑작스럽고 날카로운 가슴 통증입니다. 이 통증은 보통 운동과 무관하게 시작되며, 때로는 등이나 어깨, 목, 복부까지도 퍼지는 경우가 있습니다. 통증은 숨을 들이쉴 때 심해지고, 어떤 환자는 ‘숨 쉴 때마다 가슴이 찌르는 듯하다’, ‘등 쪽에 담이 걸린 것 같다’고 묘사합니다.

또한 호흡곤란도 흔한 증상으로, 이는 허탈된 폐로 인해 산소 교환이 감소하면서 발생하며, 증상의 정도는 기흉 크기와 환자의 폐 기능 상태에 따라 다릅니다. 건강한 젊은 환자에서는 비교적 경미한 호흡곤란이 나타나지만, 고령자나 기저 폐질환이 있는 환자는 심각한 호흡곤란을 경험할 수 있습니다. 때로는 마른 기침이 동반되기도 하고, 환자에 따라 가슴 속에서 ‘덜컹’하거나 공기가 움직이는 듯한 느낌을 호소하기도 합니다.
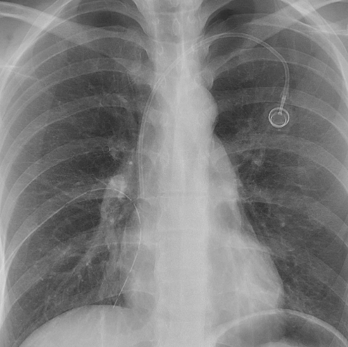
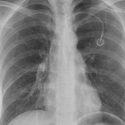
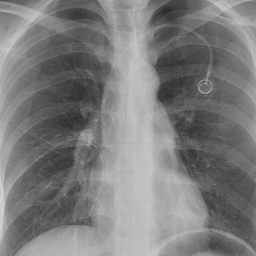
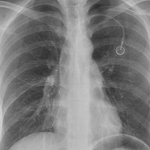
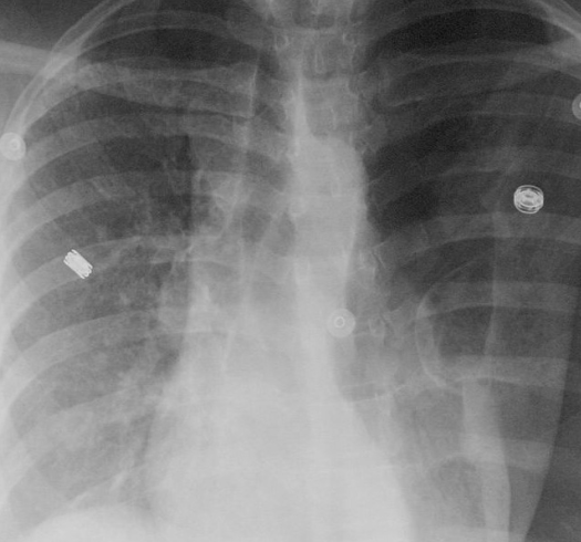
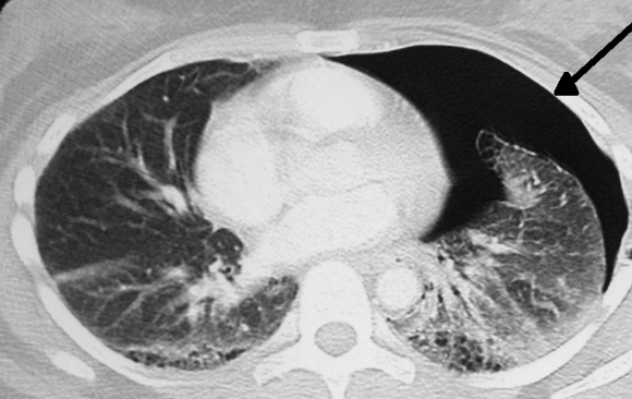
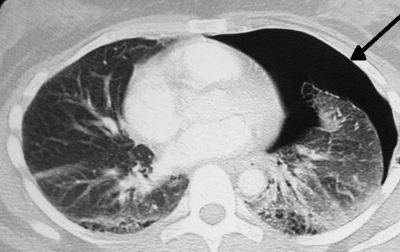
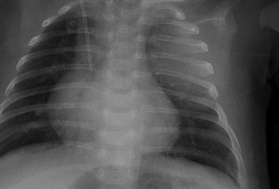
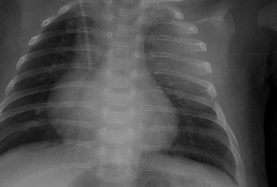
기흉이 심해지면 흉막강 내 공기가 계속 축적되어 폐와 심장을 압박하는 긴장성 기흉이 발생할 수 있는데, 이 상태는 생명을 위협하는 응급상황으로 혈압 저하, 청색증, 의식 저하 등이 나타나며 즉각적인 응급조치가 필요합니다. 진단 방법은 보통 흉부 X선 촬영으로, 허탈된 폐와 흉막강 내 공기를 확인하며, 더 정밀한 원인 분석과 확진을 위해 흉부 CT를 시행하기도 합니다. 청진 시에는 기흉이 있는 쪽 가슴에서 호흡음이 감소하거나 사라진 점도 진단에 도움이 됩니다.
정리하면, 폐기흉은 폐 표면의 작은 기포가 터지거나 외상으로 인해 폐에 구멍이 생겨 흉막강에 공기가 차면서 폐가 쪼그라드는 질환이며,
주로 키 크고 마른 젊은 남성이나 흡연자에서 자발성 기흉이 흔하고, 외상이나 기저 폐질환이 있는 경우에도 발생합니다. 증상은 갑작스럽고 날카로운 흉통과 호흡곤란이 대표적이며, 심할 경우 긴장성 기흉으로 진행할 수 있어 신속한 진단과 치료가 필수적입니다.

2. 폐기흉 치료법과 예방
먼저 예방에 있어 가장 중요한 원칙은 금연입니다. 흡연은 폐에 직접적인 손상을 일으키며, 비흡연자에 비해 기흉 발생 위험이 최대 20배 이상 높아지므로, 자발성 기흉 병력이 있는 환자는 반드시 금연해야 합니다. 또한, 대기압 변화에 민감한 질환 특성상 고도 변화가 심한 비행기 탑승이나 스쿠버 다이빙은 기흉 발생 위험을 높일 수 있으므로, 최근 폐기흉을 경험한 환자라면 이런 활동 전에 반드시 의료진과 상담하여 안전 여부를 확인하는 것이 필요합니다.

특별히 폐기흉을 막기 위한 뚜렷한 식이요법이나 특정 운동법은 없으나, 폐 건강을 위해 균형 잡힌 식사와 꾸준한 체력 관리가 도움이 될 수 있습니다.
치료는 기흉의 크기, 발생 원인, 증상의 정도에 따라 달라집니다. 크기가 작고 증상이 경미한 경우에는 고농도 산소 공급과 함께 안정적인 상태에서 자연 치유를 기다릴 수 있으며, 폐에 새어나온 공기는 하루에 한쪽 흉곽 용적의 약 1.25% 비율로 서서히 흡수되어 약 10~15일 내에 완전히 회복될 수 있습니다.

하지만 기흉의 크기가 크거나 호흡곤란과 같은 증상이 심하면 흉관 삽입술이 필요합니다. 이 방법은 늑골 사이로 특수한 플라스틱 관인 흉관을 삽입해 흉막 공간에 있는 공기를 밖으로 빼내 폐를 재팽창시키는 치료법으로, 지속적인 공기 누출이 있거나 재발성이 강한 경우에 매우 효과적입니다. 흉관 삽입은 대개 국소마취 하에 진행되며 필요에 따라 흡인장치를 사용해 치료 효과를 높입니다.
기흉이 한 번 발생한 뒤에는 재발 위험이 상당히 높아 여러 차례 재발할 경우나, 흉관 삽입 후에도 공기가 계속 새어 나오면 수술적 치료가 고려됩니다. 최근에는 비디오 흉강경 수술이 표준으로 자리잡아, 가슴을 크게 열지 않고도 내시경을 통해 문제 부위의 기포를 제거하고 흉막 유착술을 시행해 재발 확률을 크게 줄일 수 있습니다.

과거 전신마취 하 개흉술을 시행했으나, 최신 기법은 절개 부위가 작고 환자의 회복이 빠르며 합병증 위험이 낮습니다. 수술 후에도 일부 환자에서 재발할 수 있지만, 수술 전과 비교해 크게 감소하며, 흉막 유착술을 시행하면 재발률을 약 5% 수준까지 낮출 수 있습니다.
특히 중요한 점은 응급상황인 긴장성 기흉의 경우 즉시 흉강 천자 혹은 흉관 삽입을 통해 공기를 빠르게 배출하여 폐와 심장의 압박을 해소하는 것이 환자의 생명을 구하는 핵심 치료라는 것입니다. 외상성 기흉은 외부 상처와 동반된 경우가 많으므로 동시에 해당 외상 부위에 대한 치료도 필요합니다.

결론적으로 폐기흉 환자의 예방은 금연과 안전한 활동 관리가 핵심이며, 치료는 경미한 경우 보존적 관리, 심한 경우 흉관 삽입술, 그리고 재발성이나 지속 공기 누출 시 수술적 치료로 진행됩니다. 치료 후에도 의료진의 지시에 따라 정기적인 검사와 생활 습관 개선을 꾸준히 하는 것이 재발 방지와 건강 유지에 필수적입니다.
2025.09.27 - [연예인 스타 핫피플] - 전유성 별세 나이 프로필ㅣ부인 전부인 빈소 고향
전유성 별세 나이 프로필ㅣ부인 전부인 빈소 고향
전유성의 별세 소식이 알려지자 한국 연예계와 방송 코미디계는 깊은 충격과 슬픔에 잠겼습니다. 그의 삶을 되돌아보고 별세 소식을 정리해 소개해 드립니다.전유성은 1949년 1월 28일 서울에서
news.nucleartip.com
2025.08.29 - [건강] - 허리 협착증에 좋은 운동
허리 협착증에 좋은 운동
허리 협착증이란 무엇일까요? 또한 허리 협착증에 좋은 운동에는 어떠한 것들이 있을까요? 오늘 포스팅을 통해 상세하게 소개해 드리도록 하겠습니다. 1. 허리 협착증이란허리 협착증은 척추 중
news.nucleartip.com
혈압 낮추는 법
혈압과 건강은 떼려야 뗄 수 없는 매우 중요한 관계를 가지고 있습니다. 혈압 낮추는 법을 알아두는 것은 건강관리에 있어서 매우 중요하며 이번 글에서 자세히 소개해 드립니다.혈압이 높아진
news.nucleartip.com
댓글